Recupera tu Sonrisa y Función con Rehabilitación Oral
Transforma tu salud bucal con prótesis cerámicas e implantes dentales que te devolverán la confianza.
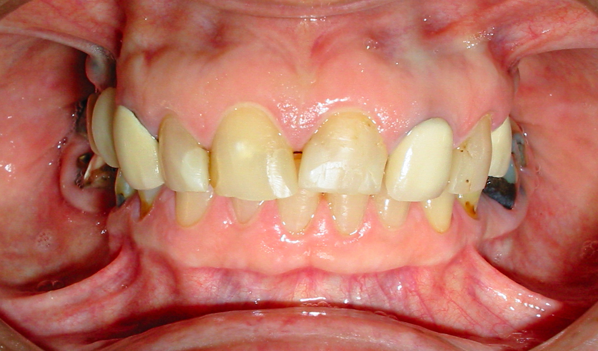
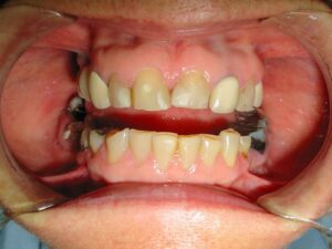
¿Has perdido dientes o sientes que tu sonrisa ya no es la misma?
La Rehabilitación Oral es la solución ideal para quienes desean recuperar no solo la estética de su sonrisa, sino también la función y salud de su boca.

¡No dejes que la pérdida de dientes afecte tu calidad de vida!





¿Por qué elegir Rehabilitación Oral?

Recupera la Función y la Estética
Vuelve a disfrutar de una sonrisa funcional, cómoda y completamente natural, sin sentir diferencias entre tus dientes originales y las prótesis.

Prótesis Cerámicas de Alta Calidad
Están diseñadas para integrarse perfectamente a tu dentadura, restaurando tanto un diente individual como varios dientes consecutivos.

Mejora Tu Salud Bucal a Largo Plazo
Al restaurar tu boca con implantes y prótesis adecuadas, previenes complicaciones futuras como pérdida ósea y problemas en la mordida.
¡Es tu momento de recuperar tu sonrisa!
Agenda una consulta con nuestros especialistas en Dental Design y comienza tu camino hacia una sonrisa armónica, saludable y llena de confianza. Reserva tu cita hoy y transforma tu vida con una sonrisa espectacular.